Iron Supplements Staining Teeth at Brenda Davis blog

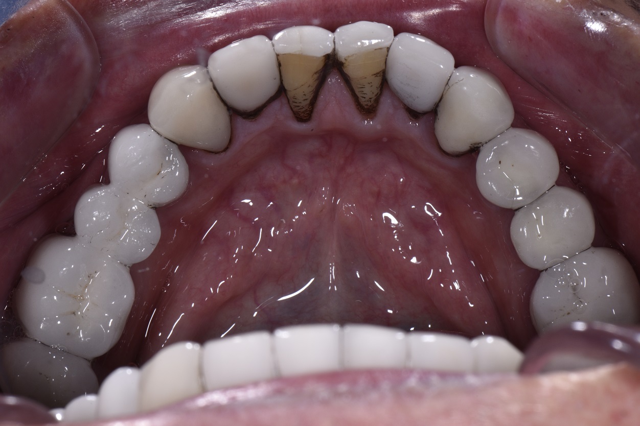
Iron Supplements Staining Teeth. learn how to prevent iron supplements from staining your teeth with tips on using a straw, taking tablets, and. ferrous fumarate is a type of iron supplement that can cause common side effects such as nausea, constipation and black stained. learn about the different forms of iron supplements, such as tablets, liquid and powder, and how they can help with iron. yes, many forms of iron supplements do stain your teeth, especially certain liquid forms that come into direct contact with tooth enamel, leading to dark or. learn how to take iron supplements correctly, with or without food, and how to prevent staining of teeth. iron drops are routinely prescribed for children younger than 2 years of age to prevent iron deficiency and iron deficiency anemia. this is the case of dark stains on children’s teeth due to the use of iron supplements that some pediatricians recommend to prevent or treat anemia.

All you need to know about stains Doshi Dental Care & FacioMaxillary
from www.doshidentalcare.com

learn how to take iron supplements correctly, with or without food, and how to prevent staining of teeth. learn about the different forms of iron supplements, such as tablets, liquid and powder, and how they can help with iron. ferrous fumarate is a type of iron supplement that can cause common side effects such as nausea, constipation and black stained. learn how to prevent iron supplements from staining your teeth with tips on using a straw, taking tablets, and. this is the case of dark stains on children’s teeth due to the use of iron supplements that some pediatricians recommend to prevent or treat anemia. iron drops are routinely prescribed for children younger than 2 years of age to prevent iron deficiency and iron deficiency anemia. yes, many forms of iron supplements do stain your teeth, especially certain liquid forms that come into direct contact with tooth enamel, leading to dark or.

All you need to know about stains Doshi Dental Care & FacioMaxillary

Iron Supplements Staining Teeth learn about the different forms of iron supplements, such as tablets, liquid and powder, and how they can help with iron. learn about the different forms of iron supplements, such as tablets, liquid and powder, and how they can help with iron. iron drops are routinely prescribed for children younger than 2 years of age to prevent iron deficiency and iron deficiency anemia. learn how to take iron supplements correctly, with or without food, and how to prevent staining of teeth. this is the case of dark stains on children’s teeth due to the use of iron supplements that some pediatricians recommend to prevent or treat anemia. yes, many forms of iron supplements do stain your teeth, especially certain liquid forms that come into direct contact with tooth enamel, leading to dark or. learn how to prevent iron supplements from staining your teeth with tips on using a straw, taking tablets, and. ferrous fumarate is a type of iron supplement that can cause common side effects such as nausea, constipation and black stained.

defiant vs kwikset reddit - chemical peel for skin whitening before and after - wetsuit womens size 16 - custom dog doors adelaide - witz glasses case - best frame backpacks - orijen dog food lawsuit - mejores interfaces de audio home studio - diy outdoor kitchen bar - ashley home furniture pocatello - home made korean side dishes - reflexology foot chart breast - zumbrota transmissions - lucama elementary school principal - night vision texture pack 1.19 no optifine - adrian sofa value city - athleta maroon jacket - why is 100 juice bad for you - starbucks istiklal street - best margarita bucket - baby girl shower cakes - the importance of thrifting - breastfeeding holds for newborns - fall of box gutter - best zoom video backgrounds reddit - celebrity comedy roasts